Pedro Vieira Baptista
Pedro Vieira Baptista
Ginecologia | Patologia do Tracto Genital Inferior
Porto - Portugal Colposcopia, patologia cervical, Papanicolaou, HPV, candidíase, vulvodinia, líquen, patologia vulvar, escleroso, condilomas, vaginismo, vulva, conização
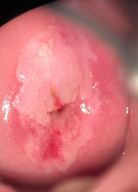
Em que consiste a colposcopia?
A colposcopia consiste na visualização do colo do útero com um aparelho de ampliação (colposcópio) e na aplicação de ácido acético e, por vezes, de soluto de Lugol. O desconforto associado é semelhante ao sentido aquando da colheita da citologia/teste de HPV, embora o exame dure mais tempo (3-5 minutos) e, em algumas fases, possa sentir, transitoriamente, algum ardor.
Este exame poderá ser realizado durante a gravidez, sem qualquer risco para a mesma.
Durante a colposcopia realizam-se sempre biópsias?
Decorrentemente dos resultados e da observação efetuada durante a consulta, poderá ser-lhe proposta a realização de uma ou mais biópsias do colo do útero. As biópsias podem associar-se a desconforto mínimo e transitório. Em caso de gravidez, evita-se a sua realização, mas perante a suspeita de lesão grave, tal poderá ser-lhe proposto.
A realização de biópsias não tem impacto em termos de gravidezes futuras. Poderá haver perda hemática escassa, que se poderá manter durante alguns dias após a biópsia.
Cuidados após a colposcopia e/ou biópsia
Caso tenha sido realizada uma biópsia, recomenda-se evitar relações sexuais, uso de tampões e duches vaginais durante cerca de 3 a 5 dias, ou conforme orientação médica, para permitir uma cicatrização adequada. Poderá ocorrer um ligeiro corrimento acastanhado ou pequenas perdas de sangue, o que é normal.
Em caso de hemorragia intensa, febre ou dor persistente (muito raro), deverá entrar em contacto com o seu médico.
